Praxis für Gefäßmedizin
 


Vorsorge


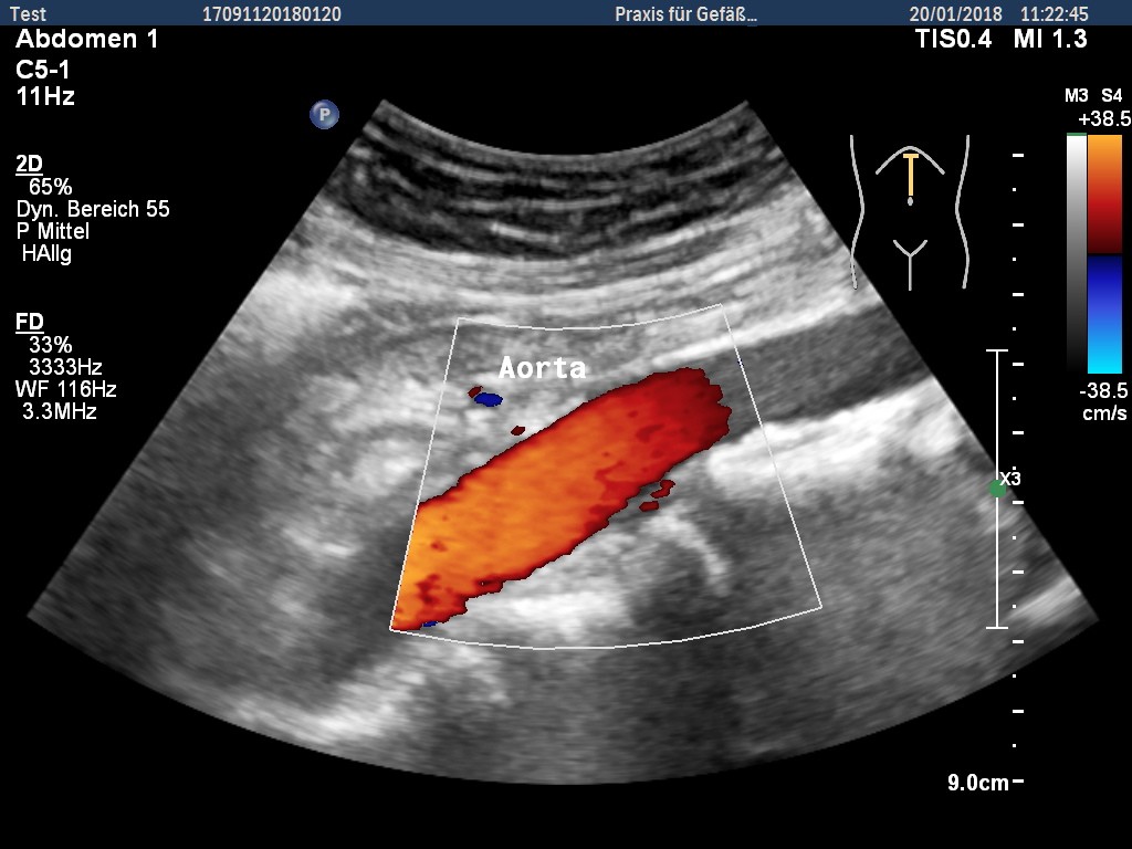
Ultraschall-Screening auf Erweiterung (Aneurysma) der Bauchschlagader (Aorta) als Versicherungsleistung der gKV.

Seit dem 01.01.2018 bieten die gesetzlichen Krankenversicherungen allen Männern ab 65 Jahren eine einmalige und kostenlose Ultraschall-Untersuchung der Bauchschlagader an.

Ziel ist es, eine mögliche Erweiterung (Aneurysma) der Bauchschlagader frühzeitig zu erkennen.

Genaueres können Sie der Versicherteninformation zum Ultraschallscreening auf Aneurysma der Bauchaorta entnehmen:

www.g-ba.de/downloads/17-98-4330/2017_08_17_G-BA_Merkblatt_Versicherteninformation-Bauchaortenaneurysma_bf.pdf






Sonographisches Arteriosklerose-Screening als individuelle Gesundheitsleistung.

Als individuelle Gesundheitsleistung bieten wir ein in Bad Säckingen entwickeltes sonographisches Arteriosklerose-Screening zur Früherkennung von arteriellen Gefäßerkrankungen an. 

Mit hochauflösendem Ultraschall werden an verschiedenen Abschnitten des Gefäßsystems Messungen vorgenommen, um arteriosklerotische Ablagerungen und Verdickungen der Gefäßwand bereits im Anfangsstadium zu erkennen.

Bitte fragen Sie uns.